הטכנולוגיה מתפתחת בקצב מהיר מאד. רובינו איננו מודעים לכמות הסטארטאפים שקמים (ונופלים) מדי יום, כמות ההמצאות וכמות הטכנולוגיות המיושמות בעולם.
רוב האוכלוסיה מסתפקת בהכרה יחסית שטחית עם טכנולוגיה נגישה (סמארטפונים, אלקטרוניקה וכיוצא בזה). אך ישנם תחומים בהם הטכנולוגיה חוצה את גבולות הדמיון.
איך זה בא לידי ביטוי בתחום הרפואה ובכלל? כמה פרטים מעניינים מהעולם שבטוח שלא היכרתם.
פיתוח מוצר לתחום הרפואה – האתגר הגדול
קודם כל, פיתוח מוצר הוא אתגר בפני עצמו. אתגר שלא מעט חברות מתמודדות איתו מדי יום. כל צעצוע, מכשיר חשמל, מתקן לטלפון לאוטו, כולם עברו תהליך פיתוח מוצר בוודאות מוחלטת.
אנחנו משתמשים בהם ביומיום כאילו היו שם תמיד, אבל לא מעט מוחות שקדו ועבדו על המוצרים הללו כדי שנוכל להיעזר בהם ולשדרג את חיינו בתחומים שונים.
בתחום הרפואה האתגר גדול בהרבה. בשונה משוק הצריכה הביתית, כשמנסים לפתח מוצר לשוק הרפואי, צריכים להתאים את עצמינו לנהלים ודרישות מחמירות כמו סטריליות, עמידות בפני מצבי קיצון, אפשרות החדרה לגוף ועוד.
גופים שונים (כמו לדוגמא ה-FDA האמריקאי) מפעילים קשיים על כל חברה שמתככנת להיכנס לשוק הזה, בין אם בפיתוח של תרופה ובין אם בפיתוח טכנולוגיה חדשה.
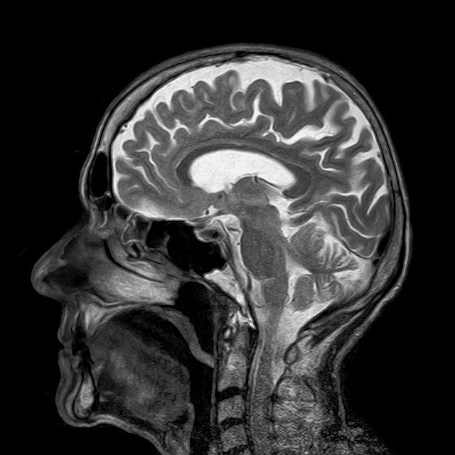
רואים את המוח אחרת
הפיתוח המהיר מאד והטכנולוגיה המפותחת שלנו הביאה בעשורים האחרונים כמה פיתוחים משמעותיים מאד אשר תורמים רבות לחקר המוח.
מכשירי הדמייה המבוססים על שדות מגנטיים (TMS, MRI וכו') מאפשרים סריקות מוח ברמה שאפשר לבדוק את צורתו, המבנה הפנימי שלו, התפקוד שלו, המערך החשמלי ועוד.
לדוגמא, ניתן כיום לחבוש קסדה אשר משדרת תדרים אלקטרוניים למוח ומשפיעה עליו מניפולטיבית כחלק ממחקר.
הטכנולוגיה המתקדמת בתחום חקר המוח מאפשרת לדעת המון. ישנם מחקרים בהם הצליחו החוקרים לפענח יחסית במדויק מה גורם לתופעות שונות בגוף כמו אלצהיימר, דמנציה, שיתוק ועוד.
בכדי לעזור לחולים ומשותקים, ישנם מחקרים בהם חוקרים מניחים אלקטרודות באופן ישיר על אזורים במוח בהם ירד או נפגע התפקוד, ומשדרים פולסים שמפעילים את אותם אזורים. הפעלת אזורים אלו גורמים לפעולה (אמנם לא מבוקרת) נניח של יד משותקת.
זה רק על קצה המזלג. אפשר לקרוא עוד המון חומר בספר הנהדר של הפרופסור המטורף מיצ'יאו קאקו (אליל פיזיקה עולמי) – העתיד של המוח.
משפרים יכולות בשדות רבויי נפגעים
אחד הדברים הנפלאים שמביאה הטכנולוגיה לעולם הרפואה הוא האפשרות להשתמש ברובוטים או רכיבים אוטומטיים בכדי להסיר תלות מגורם אנושי.
זה בא לידי ביטוי במקומות כמו שדות קרב או אירועים רבויי נפגעים. במקרה כזה לדוגמא, הרבה נפגעים צריכים הנשמה אוטומטית או פמפום קבוע של הלב בכדי לבצע החייאה או לשמר את מצבו של הנפגע.
עד היום נאלצו המטפלים בחירום להסתפק בפתרונות הקבועים כמו אמבו (סוג של בלון המחדיר חמצן לגוף תוך כדי פמפום בקצב קבוע), או לבצע לחיצות בתדירות מסוימת על חזהו של הנפגע.
שני אלו קיבלו פתרון אוטומטי, וכיום (אמנם בעלות די גבוהה) ניתן להעניק את הטיפול הזה באופן יחסית פשוט, כשמחברים את הנפגע למכונה אוטומטית שעושה את הפעולה בצורה עצמאית לחלוטין, ומאפשרת להתרכז בטיפול ולא בפמפום.
קצרה העט מלהכיל
עוד לא התחלנו לגעת בקצה קצהו של הקרחון. לא דיברנו על לייזרים, הדמיות, הולוגרמות, אופטיקה, ננו רכיבים…
העולם הזה רבוי בטונות של טכנולוגיות משוגעות. אך כדי להשאיר אותכם איתנו, אנחנו מבטיחים להעלות חומר על זה בהמשך.
